
Your Smile, Our Priority.
At Innovative Dental Care, we believe exceptional dentistry should feel effortless. Whether you’re here for a routine cleaning or advanced treatment, every service is tailored to your needs using leading-edge technology and a gentle, thoughtful approach. From preventive care to smile makeovers, we’re here to support your health and help you love your time at the dentist.
Your Preventive Foundation
Protecting Your Smile Before Problems Start
Our preventive services are designed to keep your teeth, gums, and overall oral health in top shape, catching issues early and helping you avoid more complex treatment down the road. Dr. Summer uses advanced diagnostic tools and a gentle approach to deliver care that’s as thorough as it is comfortable.
Routine Cleanings & Exams
​Our comprehensive cleanings begin with gentle ultrasonic instrumentation to remove plaque and tartar buildup, followed by polishing with our advanced AirFlow Plus Air Polisher. This modern polishing method replaces the gritty, poor-tasting paste of the past with a refreshing, comfortable experience that lifts surface stains and leaves your smile feeling exceptionally smooth. Detailed exams allow us to detect concerns before they become problems. Each visit includes a full evaluation of your teeth, gums, bite, and jaw. As part of our elevated care experience, Dr. Summer also performs a thorough head and neck cancer screening—gently assessing for any irregularities through a series of precise, hands-on techniques that feel more like a soothing massage than a medical exam.

Restoring Health & Comfort
Modern Solutions to Repair & Rebuild Your Smile
Whether you're dealing with everyday wear, unexpected damage, or missing teeth, our restorative services are designed to rebuild both function and beauty. With advanced materials and techniques, we’re able to restore smiles with strength, precision, and natural-looking results—often in a single visit. From discreet fillings to custom crowns and implant solutions, we provide care that not only repairs but also elevates.
Same-Day CEREC Crowns
No temporary crown, no second appointment. Our in-house CEREC technology allows us to design, mill, and place beautiful, custom ceramic crowns in a single visit, restoring your tooth’s structure and appearance with speed and precision.

Enhance Your Natural Smile
Personalized Treatments for Stunning Results
A confident smile is a powerful thing, and at Innovative Dental Care, we specialize in bringing your vision to life. Whether you're looking for a subtle refresh or a full transformation, our cosmetic services are tailored to enhance your natural beauty while preserving the health and function of your teeth. Using cutting-edge technology, artistry, and a gentle touch, we help you achieve a radiant smile that reflects your unique confidence.
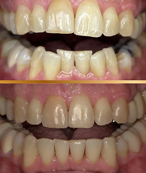
Smile Makeover
Our custom smile makeovers blend form and function to completely elevate your smile. We may combine porcelain veneers, anterior crowns, and soft tissue contouring with our dental laser to create harmony and symmetry. Every detail is designed with precision to bring out the best in your smile, perfect for patients seeking transformative, long-lasting results.

Smile Alignment, Made Simple
Clear Solutions for Bite, Function, & Aesthetics
Clear Aligner Orthodontics
Modern orthodontics isn't just about straight teeth, it's about balance, comfort, and long-term health. At Innovative Dental Care, we offer both Invisalign and SureSmile clear aligners to discreetly and comfortably guide teeth into alignment, giving us the flexibility to recommend the system that best fits your unique smile goals and lifestyle.
Whether you're looking to enhance the appearance of your smile, correct bite imbalances, or create more space to support better breathing and airway function, clear aligners offer a versatile and fully customized solution.
We often recommend clear aligner treatment not only for aesthetic refinement but also to reduce damage from grinding or clenching, prevent uneven wear, and support overall oral health. Treatment plans are tailored specifically to your goals and may include digital scans, bite monitoring, and regular check-ins to ensure consistent progress with minimal disruption to your daily life.
.png)
Advanced & Personalized Care
Airway Dentistry, Tongue & Lip Tie Release, Sedation, & More
At Innovative Dental Care, we believe advanced care should still feel personal, thoughtful, and designed around you. Our tailored solutions go beyond standard dentistry to support your overall wellness; whether that means breathing more easily, sleeping soundly, or simply feeling more comfortable in the chair. With state-of-the-art technology and a deeply individualized approach, we offer next-level treatments to meet your unique needs.
Airway Dentistry - Vivos
Vivos Airway Therapy for Adults
Chronic fatigue, mouth breathing, poor sleep, and persistent clenching or grinding may all be signs of airway restriction. For adults, our Vivos therapy focuses on gentle, non-surgical palate expansion using a custom-designed oral appliance worn at night. This FDA-cleared treatment encourages healthy airway development and improved breathing patterns over time. Once the airway is properly supported, we’ll work together to determine the next steps—whether that’s clear aligner orthodontics, a tongue tie release, or simply ongoing wellness support. Every plan is tailored to help you feel rested, relaxed, and balanced from the inside out.
​​
Vivos Airway Therapy for Children
Early intervention can be life-changing for a child struggling with restless sleep, behavioral concerns, snoring, bedwetting, or mouth breathing. Our Vivos system for kids uses a series of pre-sized nighttime appliances that guide natural jaw and airway development as your child grows. These comfortable devices are worn during sleep and adjusted as needed over time through regular growth check-ins. By addressing the root causes early, we aim to support better sleep, improved focus, and long-term wellness as your child continues to grow and thrive.










.png)
.png)



